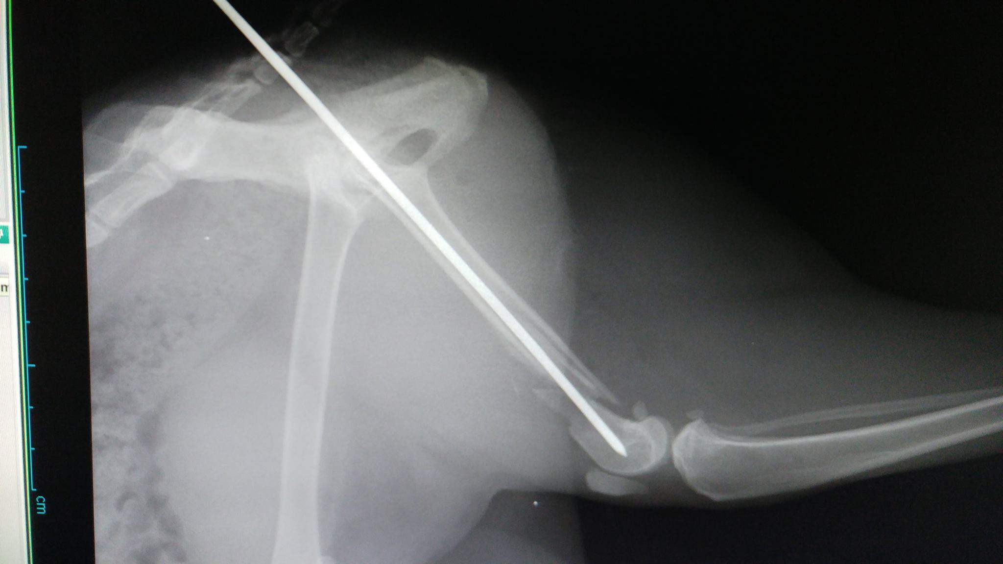
'זילולה' נעלמה ליותר משבוע וחזרה כשהיא לא דורכת על רגלה האחורית. בבדיקה וצילום במרפאה התגלה ש'זילולה' כנראה נדרסה ושברה שבר נוראי את רגלה. היא כנראה שברה את רגלה ביום שנעלמה, מאחר והשבר כבר לא היה "טרי", מה שסיבך מאוד את הטיפול בה. ואם לא די בכך, התקציב הטיפולי של 'זילולה' היה מוגבל ולא איפשר תיקון אורטופדי מתקדם.
כדי להציל את הרגל שלה, ביצענו ניתוח אורטופדי הרואי ומורכב, בו הצלחנו להחזיר את העצמות למנח כמעט אנטומי. וזאת כנגד כל הסיכויים כי השבר כבר התחיל בתהליך איחוי.
נאחל ל'זילולה' החלמה מהירה ומלאה. ו'זילולה', בפעם הבאה תתרחקי ממכוניות!



השארת תגובה

